
近日,中南大学湘雅医院江西医院神经外科成功挑战手术“禁区”,实施医院脑干延髓内生型胶质瘤切除,目前患者恢复良好。
来自江西省樟树市53岁唐先生近期感到饮水呛咳,右上肢乏力,于当地医院检查发现脑干占位。这个结果无疑对唐先生以及家属巨大打击,患者及家属无所适从。患者听闻“南湘雅、北协和”之一的中南大学湘雅医院与江西省人民医院(南昌医学院第一附属医院)合作共建国家神经疾病区域医疗中心——中南大学湘雅医院江西医院,特地慕名前来医院神经外科就诊。

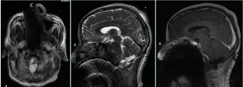
(术前)
医务部主任、神经外科执行主任宋涛接诊后详细询问患者病史,并进行了相关检检查,宋涛评估该患者肿瘤体积大,侵犯延髓以及颈1脊髓,为内生型,占位效应明显,脑干周围结构明显受压推挤。考虑脑干延髓高级别胶质瘤可能性大。脑干结构复杂,延髓为呼吸,心跳的生命中枢所在,手术风险极大,术中细微的脑干损伤都会带来极为严重的后果。术后容易出现严重的并发症。
宋涛主任耐心地向患者说明,虽然脑干手术风险很大,为相对的“手术禁区”,但此类伴有局灶性强化的脑干胶质瘤是手术的适应症,且手术成功机会一样很大。感受到宋涛主任坚定的态度,患者以及家属重拾信心,毅然决定手术。
经过充分的术前评估和相关术前准备,同时邀请中南大学湘雅医院著名脑胶质瘤专家伍军教授同台手术,在麻醉医师、手术室护理团队的密切配合下,在神经导航、以及脑干、颅神经的电生理监测下顺利进行。
如术前预料的一样,肿瘤位于延髓深面,术中对肿瘤的轻微牵拉,患者的心跳便下降至30次以下,这给手术者以及麻醉团队带来巨大的挑战,经过宋涛团队在显微镜下近5个小时的分离和切除,肿瘤终于被成功摘除。

(术后)
患者术后当晚便清醒过来,目前患者恢复顺利,饮水呛咳情况也较术前好转,右上肢肌力也在逐渐恢复。术后复查磁共振提示肿瘤基本切除。术后患者病检为弥漫中线胶质瘤(WHOIV级),目前已经针对该患者进行多学科讨论,制定术后的放化疗的综治疗方案,对患者进行全病程的管理。

宋涛主任表示,脑干是神经系统的中心枢纽,不仅汇聚众多的神经核团以及神经纤维,而且为呼吸、心跳生命中枢所在。在神经外科一度被认为是手术的“禁区”,但是随着对脑干解剖认识的深入,加之各种检查手段、手术设备、术中监测以及显微神经外科技术的发展,对脑干肿瘤的手术已经逐渐成熟,甚至有些良性病变能够完全治愈。相信随着国家神经疾病区域医疗中心——中南大学湘雅医院江西医院的落地,必将造福更多湘赣地区百姓。






