
前言
真性红细胞增多症(PV)是一种起源于造血干细胞的克隆性骨髓增殖性肿瘤(MPN),以红系增生、体质性症状、血栓事件和对生存的影响为主要表现。JAK2基因突变为其主要启动性事件。
案例经过
案例一
患者老年男性,发现脾大伴血细胞增多两年,因心脏不适来院就诊,血常规示红细胞、血红蛋白、红细胞比容增高。镜检可见红细胞堆积分布,未见幼稚细胞。

铁蛋白正常。

促红细胞生成素减低。

肝功能正常。

凝血检查:凝血酶原时间延长,纤维蛋白原降低。

案例二
患者老年女性,因发现白细胞升高3年,双手掌心皮肤发红,有手足灼热感就诊。血常规示三系均升高。镜检可见红细胞堆积分布,未见幼稚细胞。

促红细胞生成素正常,刚够参考范围。

肝功能正常。

凝血试验正常。

案例分析
案例一
患者老年男性,彩超示脾大,血常规示血细胞增多。查体:神志清、精神可,体温、血压正常,心脏听诊未闻及明显异常。腹软,脾大,肋下5横指,无压痛无跳痛,双下肢无浮肿。
初步诊断:血细胞增多查因。
鉴别诊断:
1.慢性骨髓增殖性肿瘤。大多数MPN具有编码胞质或受体酪氨酸激酶的基因异常,包括易位或点突变,导致异常酪氨酸激酶激活信号传导通路,使血细胞异常增殖。CML具有BCR-ABL1融合基因,其他类型均为BCR-ABL1融合基因阴性的MPN。位于9号染色体(9P24)JAK2基因突变,主要见于BCR-ABL1阴性的MPN,最常见的突变为JAK2V617F(第617位缬氨酸→苯丙氨酸)。JAK2V617突变见于几乎所有的PV及一半的PMF和ET的病例。需完善骨髓形态、活检、融合基因等检查,明确诊断。
2.继发性血细胞增多。
①继发性红细胞增多症。多见于慢性缺氧状态,如高原生活、先天性心脏病、慢阻肺等;影响EPO分泌增多的疾病,如肾囊肿等。
②继发性血小板增多症。多见于慢性炎症、感染、肿瘤、部分贫血患者等。
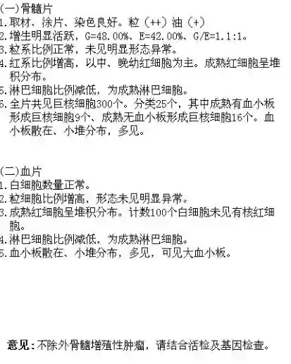
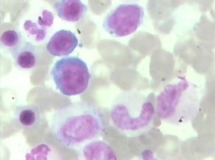
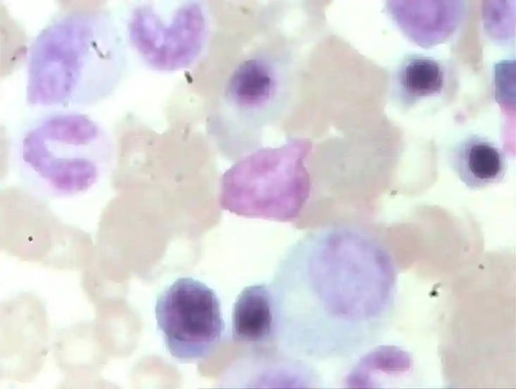
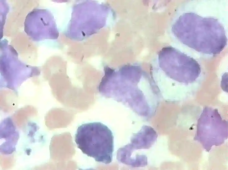
送检骨髓涂片形态:增生明显活跃,红系比例增高,成熟红细胞堆积分布。不除外骨髓增殖性肿瘤。



流式细胞学:未检测到明显免疫表型改变。

活检组织形态学考虑真性红细胞增多症(纤维化0级)。

核型分析正常。

BCR-ABL1(P210)融合基因阴性。

JAK2基因V617F突变定量检测阳性。

JAK2基因外显子12突变检测阴性。

MPL基因突变检测阴性。

CALR基因突变检测阴性。

综合诊断为真性红细胞增多症。诊断明确,应用干扰素治疗,定期复查。
案例二
患者老年女性,查体神志清,精神可,体温、血压正常,双手掌心皮肤红紫色,浅表淋巴结未触及肿大。腹软,无压痛及反跳痛,肝脾肋下未触及,双下肢无浮肿。
初步诊断:白细胞增多原因待查。患者白细胞升高3年,暂不考虑生理性、感染因素,应完善骨髓穿刺及活检检查。
鉴别诊断:
1.骨髓增殖性疾病。系一组克隆性造血干细胞疾病,表现为髓系细胞一系或多系增殖。临床表现为外周血一种或多种血细胞增多、肝脾大、出血倾向、血栓形成及髓外造血,进展缓慢但可发生急变、骨髓纤维化及无效造血,最后转变为急性白血病。骨髓各系造血细胞都可见显著增生。
2.急性白血病。病人常以发热为早期表现,淋巴结常肿大,可有乏力、疲倦,后期出现食欲减退、消瘦、低热、盗汗及贫血症状。
3.类白血病反应。多见于严重感染、中毒、急性溶血、大出血、过敏性休克、恶性肿瘤、炎症等,类似白血病现象。多见粒细胞型,可见中性粒细胞胞浆中毒颗粒、空泡等,粒细胞左移,没有白血病细胞。
送检骨髓涂片形态:增生明显活跃,红系比例增高,巨核细胞增多,成熟红细胞堆积分布。不除外骨髓增殖性肿瘤。



活检组织形态学考虑真性红细胞增多症(纤维化0级)。

核型分析正常。

JAK2基因V617F突变定量检测阳性。

JAK2基因外显子12突变检测阴性。

MPL基因突变检测阴性。

CALR基因突变检测阴性。

综合诊断:真性红细胞增多症。诊断明确,应用羟基脲治疗,定期复查。
两个月后复查血常规:

案例总结
2016年世界卫生组织(WHO)髓系肿瘤和急性白血病分类指南更新了PV的诊断标准,
1.主要标准:
①男性血红蛋白(Hb)165g/L、女性Hb160g/L,或男性红细胞比容(HCT)49%、女性HCT48%;或红细胞容量增加。
②骨髓活检示三系高度增生伴多形性巨核细胞。
③检出JAK2V617F突变或12号外显子突变。
2.次要标准:血清EPO水平低于正常参考值。
PV诊断需符合3条主要标准或第1、2条主要标准和次要标准。
WHO第5版分类MPN的初步诊断评估继续依赖于临床特征、分子诊断和骨髓活检的形态学评估。PV的诊断仍然使用此标准。
JAK2V617F突变或12号外显子的突变几乎在99%的真性红细胞增多症患者中发现。V617突变在95%-97%的患者中,12号外显子突变在几乎剩余的患者中。但JAK2突变的存在难以鉴别PV、ET和PMF。此时,骨髓形态学的表现有助于鉴别。
【参考文献】
[1]血液病诊断及疗效标准/沈悌赵永强主编.4版.北京:人民卫生出版社,2018
[2]临床检验诊断学图谱/王建中主编.北京:人民卫生出版社,2012
[3]慢性髓系肿瘤诊断学/卢兴国主编.北京:人民卫生出版社,2013
[4]血液病学/张之南郝玉书主编.2版.北京:人民卫生出版社,2011
声明:本平台旨在为医疗卫生专业人士传递更多医学信息。本平台发布的内容,不能以任何方式取代专业的医疗指导,也不应被视为诊疗建议。如该等信息被用于了解医学信息以外的目的,本平台不承担相关责任。本平台对发布的内容,并不代表同意其描述和观点。若涉及版权问题,烦请权利人与我们联系,我们将尽快处理。





